Muhammad Ridzuan 🌏
Muhammad Ridzuan

Machine Learning/AI Scientist (Geology + Healthcare)

About Me

I am a machine learning scientist with a background that uniquely blends geology and biomedical imaging. My career spans the oil-and-gas and healthcare industries, where I have developed a knack for applying cross-disciplinary insights to tackle challenging problems. My journey has been enriched by living and working across Southeast Asia, the Middle East, and the United States, which has shaped my approach to problem-solving and innovation. My work has earned me several accolades for research, academic excellence, leadership, and community service.

Download CV
Interests
  • Machine Learning
  • Computer Vision
  • Subsurface Geology
  • Petrography
  • Healthcare
  • Survival Analysis/Prognosis
  • Predictive Maintenance
Education
  • PhD in Machine Learning

    Mohamed bin Zayed University of Artificial Intelligence

  • MSc in Geology

    Iowa State University

  • BSc in Geology

    Iowa State University

Tech Skills
Python
PyTorch
VSCode
Jupyter
Streamlit
SimpleITK
MONAI
OpenCV
Docker
Slicer
sklearn
seaborn
pycox
numpy
pandas
AWS

Experience

  1. AI Research Assistant

    Mohamed bin Zayed University of Artificial Intelligence
    • Computer vision research assistant in BioMedical Image Analysis (BioMedIA) Lab
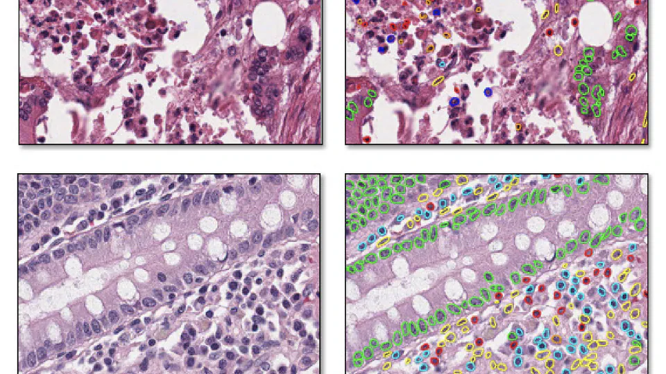
    • Develop intelligent solutions for the identification (i.e., classification, segmentation) of pathologies and future outcome predictions (i.e., survival analysis) of patients from various 1D, 2D and 3D imaging data including EHR, X-rays, thin-section whole-slide imaging, MRI, and CT scans
  2. Visiting Scholar

    University of Nebraska-Lincoln
    • Researched causal effect estimation and causal discovery methods using Python
  3. Graduate Teaching Assistant for AI in Healthcare

    Mohamed bin Zayed University of Artificial Intelligence
    • Course lab assistant for HC701 Medical Imaging Physics & Analysis |
    • Mentored graduate student teams in different AI in healthcare projects
  4. MLxHealth Oxford Machine Learning Summer School (OxML)

    University of Oxford
    • Learned advanced topics in representation learning (i.e., learning with little or no supervision, self-supervised learning, multi-modal representation learning)
  5. Geological Data Science Advisor

    Curtis & Associates, Houston, TX
    • Geology SME in Product Management & Innovation and Data Science teams
    • Digitalized end-user workflows; developed technological solutions including 2D contour maps, cross-section panels, and well-log correlation tools to enhance subsurface data visualization and usability
    • Developed research initiatives involving analytics and automation for effective well placement in target zones, including using machine learning for lithology predictions
  6. Geosteering Operations Center Intern

    Saudi Aramco
    • First intern in Reservoir Characterization department
    • Analyzed triple combo and image logs; applied various well log correlation techniques for vertical wells, horizontal dipping beds, and lateral facies variations using sequence stratigraphy and sedimentation
    • Simultaneously monitored multiple wells in real-time during building, landing, and geosteering stages in carbonate and clastic reservoirs
  7. Geology Graduate Teaching Assistant

    Iowa State University
    • Lab coordinator and instructor; taught Introductory Geology and Geology for Engineers and Environmental Scientists
    • Led 4 teaching assistants, coordinated 8 labs; revised syllabus and developed lesson plans
    • One of two recipients of Outstanding Teaching Assistant Award, Dept. of Geological and Atmospheric Sciences

Education

  1. PhD in Machine Learning

    Mohamed bin Zayed University of Artificial Intelligence

    Full scholarship. World’s 1st AI research university. Thesis on Interpretable Deep Learning for Cancer-based Survival Analysis. Supervised by Dr. Mohammad Yaqub.

    Courses include:

    • Advanced Machine Learning
    • Medical Imaging Physics & Analysis
    • Mathematical Foundations for AI
  2. MSc in Geology

    Iowa State University

    CGPA: 4.00/4.00

    Thesis involved carbonate rock characterization via helium and mercury porosimetries, XRD, XRF, and thin section analyses. Supervised by Dr. Franek Hasiuk.

    Understanding the Geological Basis of the Iowa Pore Index
  3. BSc in Geology

    Iowa State University

    CGPA: 3.98/4.00

    Graduated with Summa Cum Laude (Highest Distinction). Completed degree in the top 2% of graduates in 2.5 years.

List of Publications
(2024). HuLP: Human-in-the-Loop for Prognosis. International Conference on Medical Image Computing and Computer-Assisted Intervention (MICCAI).
(2024). SurvRNC: Learning Ordered Representations for Survival Prediction using Rank-N-Contrast. International Conference on Medical Image Computing and Computer-Assisted Intervention (MICCAI).
(2023). DGM-DR: Domain Generalization with Mutual Information Regularized Diabetic Retinopathy Classification. MICCAI Workshop on Domain Adaptation and Representation Transfer (DART).
(2023). MGMT promoter methylation status prediction using MRI scans? An extensive experimental evaluation of deep learning models. Medical Image Analysis (MedIA).
(2023). Prompt-Based Tuning of Transformer Models for Multi-Center Medical Image Segmentation of Head and Neck Cancer. Bioengineering.
Awards
  • 1st Place GITEX, GITEX YouthX High Flyer Individual Track Competition, Dubai
  • Finalist Wyakom Community Pitch, Dept. of Community Development, Abu Dhabi
  • President’s Award for Competitive Excellence, Iowa State University (ISU), IA
  • Honorable Mention, AAPG Imperial Barrel Competition, Mid-Continent Section
  • Champion of Student Success, MAP-Works, recognized for promoting student success and being the most helpful individual in a student’s transition to college, ISU, IA
  • Best Poster Presentation Award, 3rd Graduate and Professional Students’ Research Conference, ISU, IA
  • Outstanding Contributions Award, Dept. of Geological and Atmospheric Sciences, ISU, IA
  • Outstanding Teaching Assistant Award, Dept. of Geological and Atmospheric Sciences, ISU, IA
  • AIPG National Scholarship, American Institute of Professional Geologists
  • Beck Family Field Camp Scholarship, Dept. of Geological and Atmospheric Sciences, ISU, IA
  • Highest 2% of seniors & juniors, College of Liberal Arts and Sciences, ISU, IA
  • Certified Volunteer for Special Education Needs, Muhsen, Houston, TX
Professional Affiliations
  • MICCAI
  • SPWLA
  • AAPG
  • GSA
Leadership
2024
C-Suite Facilitator
MBZUAI Leadership Training for Industry, Abu Dhabi
2022-2023
Critical Thinking Mentor
MBZUAI Executive Program (MEP), Abu Dhabi
2023
Research Mentor
MBZUAI Undergraduate Research Internship Program (UGRIP), Abu Dhabi
2022
Session Chair for Computer and Information Sciences
UAE Graduate Students Research Conference, Dubai
2014-2016
Student Advisor
ISU International Student Council, IA
2013-2015
Treasurer
ISU Student Chapter of American Association of Petroleum Geologists (AAPG), IA
2014
Vice President
ISU International Student Council, IA
  • Awarded Outstanding Service as Vice President of International Student Council
  • Awarded Outstanding Commitment to Diversity (university-wide award)
  • Voted as Outstanding Student Council Leader
2013
Events Coordinator
ISU International Student Council, IA
2012
Volunteer Coordinator
ISU International Student Council, IA
Recent News

πŸŽ‰ May 2025: Completed Single-Cell Summer Workshop @ MBZUAI

πŸŽ‰ May 2025: Invited as Program Committee Member for the 1st MICCAI Workshop on Human-AI Collaboration (HAIC)

πŸŽ‰ Apr 2025: Completed Genomics Data Carpentry Workshop @ MBZUAI

πŸŽ‰ Apr 2025: HECKTOR 2025 Challenge is now live!

πŸŽ‰ Mar 2025: Challenge proposal accepted to MICCAI for HEad and neCK TumOR (HECKTOR 2025) Lesion Segmentation, Diagnosis and Prognosis using Multimodal Data

πŸŽ‰ Mar 2025: eBook published and available for free download! PetroQuiz Marathon 101: Daily Quizzes for Continuous Training and Learning Towards Becoming PetroMaster

πŸŽ‰ Jan 2025: Earned certificate in Building Multimodal Search and RAG

πŸŽ‰ Jan 2025: Auditing Advanced Topics in Causality and Machine Learning by Prof. Jin Tian

πŸŽ‰ Nov 2024: Awarded Certificate of Excellence as Top Scorer in LinkedIn Petrophysics PetroQuiz Series, PetroQuiz Marathon Program

πŸŽ‰ Oct 2024: Attended GITEX Global

πŸŽ‰ Oct 2024: 4 works on prognosis presented at 2024 MICCAI in Morocco

πŸŽ‰ Sept 2024: Won 2nd Best Poster Presentation Award, 2024 John Hopkins Aramco Healthcare (JHAH) Annual Research Symposium

πŸŽ‰ Sept 2024: Invited among top 13 competition winners to present at 2024 MICCAI LEarning biOchamical Prostate cAncer Recurrence from histopathology slides (LEOPARD) Workshop

πŸŽ‰ Sept 2024: Joined MBZUAI IEC 2024 Entrepreneurship Workshops

πŸŽ‰ Aug 2024: 1 abstract accepted to 2024 John Hopkins Aramco Healthcare (JHAH) Annual Research Symposium

πŸŽ‰ July 2024: 1 paper accepted to 2024 MICCAI Cancer Prevention, detection and intervenTion (CaPTion) Workshop

πŸŽ‰ May 2024: 2 papers early accepted to 2024 MICCAI (11% early acceptance rate)